Le Saviez-vous :

La radiographie officielle de la dysplasie

de la hanche chez le chien peut s’effectuer chez nous

Votre chien boîte-t-il ou évite-t-il les escaliers ?

La dysplasie de la hanche, fréquente chez les grandes races comme les bergers allemands ou les labradors, est une malformation de l’articulation coxo-fémorale, souvent héréditaire. Elle provoque une usure prématurée du cartilage, entraînant arthrose et gêne chronique. Sans dépistage, cette pathologie silencieuse réduit la qualité de vie du chien.

La radiographie officielle est un outil clé pour lutter contre cette maladie génétique. Réalisée sous anesthésie générale pour garantir un positionnement précis, elle évalue objectivement la conformation des hanches. Seuls des clichés techniques rigoureux, lus par des experts, permettent de confirmer l’absence ou la présence de la maladie (grades A à E).

Obligatoire pour les élevages, elle préserve la santé des générations futures et interdit la reproduction des chiens atteints, limitant la transmission génétique. Moins connue des propriétaires, cette radiographie reste essentielle. C’est un examen indispensable à la prévention de la dysplasie.

Découvrons ensemble comment ce protocole, encadré par la Société Centrale Canine, protège la santé de votre chien et guide les éleveurs vers des portées plus saines, grâce à un dépistage systématique et standardisé.

Qu’est-ce que la dysplasie de la hanche chez le chien ?

Pour comprendre la dysplasie de la hanche, il faut d’abord visualiser une hanche saine.

Celle-ci fonctionne comme un système « boule et socket » : la tête du fémur (boule) s’emboîte parfaitement dans l’acétabulum (socket). Cette articulation coxo-fémorale assure une stabilité optimale, permettant des mouvements fluides sans usure excessive.

En cas de dysplasie, cette articulation se développe de manière anormale. La tête du fémur ne s’adapte plus correctement à l’acétabulum, créant une instabilité appelée subluxation. Cette laxité articulaire provoque des frottements anormaux, accélérant l’usure du cartilage.

CVA : Hanche normale vs hanche dysplasique

Contrairement à une hanche saine, cette mauvaise adaptation empêche une répartition équilibrée des pressions

Les conséquences sont multiples :

  • Dégradation prématurée du cartilage articulaire
  • Développement d’arthrose dès 4 mois chez certains chiens
  • Douleurs chroniques liées à l’inflammation
  • Diminution de la mobilité et perte de masse musculaire
CVA : Dysplasie de la hanche chez un berger allemand

Cette maladie évolutive touche surtout les grandes races (Labrador, Berger Allemand, Bouvier Bernois). Bien que génétiquement prédisposée (40 % de risque), son expression dépend fortement de l’environnement (60 %), comme l’alimentation ou l’exercice inadapté.

Une détection précoce via la radiographie officielle reste cruciale pour limiter ces dommages invisibles à l’œil nu.

Pourquoi réaliser une radiographie de dépistage officielle ?

La radiographie officielle de dépistage de la dysplasie de la hanche chez le chien garantit la qualité génétique des reproducteurs.

Contrairement à une radiographie clinique, elle suit un protocole strict pour évaluer la conformation de l’articulation coxo-fémorale, essentielle pour lutter contre cette maladie héréditaire.

Les Clubs de races, sous l’égide de la Société Centrale Canine (SCC), visent à améliorer les races canines.

La dysplasie de la hanche, transmise génétiquement, est une priorité. De plus en plus de clubs rendent ce dépistage obligatoire pour la confirmation ou la reproduction des chiens LOF.

Sans validation, un chien ne peut être inscrit au livre des origines, limitant la transmission du défaut génétique.

Ce dépistage identifie les chiens atteints, même asymptomatiques. Un animal peut sembler sain mais porter les gènes de la maladie.

Cet outil de prévention à l’échelle des races vise à réduire la prévalence de la dysplasie sur le long terme.

Le diagnostic repose exclusivement sur l’analyse des clichés par un lecteur officiel désigné par le club. Ce vétérinaire expert évalue des critères précis (congruence articulaire, développement du cotyle).

Une radiographie mal réalisée ou interprétée par un tiers n’a aucune valeur légale. Certains centres pré-évaluent les clichés pour éviter les refus techniques.

Comment se déroule la radiographie officielle ?

La radiographie officielle permet d’évaluer précisément la conformation de l’articulation coxo-fémorale chez le chien.

Elle est obligatoire pour les élevages souhaitant certifier la santé de leurs reproducteurs. Voici les étapes clés de cette procédure, validées par les protocoles de la Société Centrale Canine.

La préparation avant le rendez-vous

Pour garantir une bonne réalisation de l’examen, plusieurs précautions sont nécessaires :

  • À jeun : Le chien doit être privé de nourriture 12 à 24 heures avant la consultation pour éviter les complications liées à l’anesthésie.
  • Documents requis : Apportez le pedigree, le numéro d’identification (puce ou tatouage), et les antécédents médicaux.

Ces mesures assurent une procédure rapide et sécurisée, réduisant les risques pour l’animal.

L’anesthésie générale : une étape essentielle

L’examen radiographique s’effectue systématiquement sous anesthésie générale pour deux raisons :

  • Relaxation musculaire : Une détente complète des muscles permet un positionnement strict, indispensable pour des images fiables.
  • Éviter le stress : L’animal ne ressent ni douleur ni inquiétude pendant la manipulation.

Les protocoles anesthésiques modernes sont rapides et surveillés, avec un réveil rapide après l’examen.

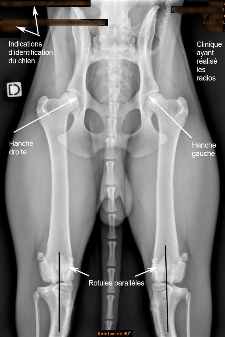
Le positionnement précis du chien

La position standardisée est cruciale pour une interprétation correcte :

  • Le chien est allongé sur le dos, dans une gouttière adaptée.
  • Les fémurs doivent être parallèles.
  • Les rotules sont centrées, et le bassin parfaitement symétrique.

Seul un positionnement rigoureux permet d’évaluer la congruence articulaire et la présence éventuelle de lésions.

CVA : Radiographie avec numérisateur

La prise du cliché et la fin de la procédure

Une fois le chien en place :

  1. La radiographie numérique est réalisée pour une image de haute qualité.
  2. Le cliché inclut des données essentielles : nom du chien, numéro d’identification, race, date, et signature du vétérinaire.
  3. Le chien est surveillé durant son réveil et peut rentrer quelques heures après l’examen.

Les images numériques sont envoyées sur une plateforme sécurisée pour analyse par un lecteur officiel, avec une copie transmise au propriétaire.

Quels sont les critères d’une radiographie de qualité ?

Pour qu’un cliché radiographique soit validé dans le dépistage de la dysplasie de la hanche chez le chien, deux exigences majeures doivent être respectées : l’identification du chien et la qualité technique de l’image.

Un défaut dans l’un de ces critères entraîne systématiquement un refus, obligeant à refaire l’examen sous anesthésie.

L’identification infalsifiable du cliché

Chaque radiographie doit inclure des données précises, gravées de manière permanente sur l’image, pour garantir l’authenticité et la traçabilité. Ces éléments évitent toute confusion ou manipulation. Les informations obligatoires comprennent :

  • Le nom complet de l’animal
  • Son numéro d’identification (tatouage ou puce électronique)
  • Sa race et son sexe
  • Son numéro de LOF (Livre des Origines Français)
  • Sa date de naissance
  • Le nom du vétérinaire et la date de l’examen

Les exigences techniques de l’image

La précision du diagnostic dépend d’une image parfaitement réalisée. Une anesthésie générale est quasi-systématique pour garantir un positionnement rigoureux du chien. Les critères techniques à respecter sont :

  • Un bassin parfaitement symétrique, vérifié par l’égalité de largeur des ailes de l’ilium
  • Des fémurs droits et parallèles
  • Des rotules visibles et centrées entre les condyles fémoraux
  • Une image nette, avec des contours osseux bien définis
  • Une visibilité complète des articulations coxo-fémorales et des grassets (genoux)

Une mauvaise radiographie, même légèrement décalée, peut induire une mauvaise classification de la hanche, pénalisant à tort le chien. Le refus d’un cliché n’est donc jamais une formalité, mais une garantie d’équité pour les élevages et les propriétaires.

CVA : Radiographie de dysplasie de la hanche chez un chien

Comment sont interprétés les résultats de la radiographie ?

Qui valide les clichés ? Comment décrypter les résultats ?

Comprendre l’interprétation des radiographies est essentiel pour évaluer l’état des hanches de votre chien.

La lecture par un vétérinaire agréé

Le vétérinaire qui réalise la radiographie ne donne pas le résultat final. Le cliché est envoyé à un lecteur officiel, expert désigné par le club de race. Ce professionnel analyse les images avec une expertise pointue pour garantir une évaluation homogène.

Exigences clés pour la lecture :

  • Un protocole strict pour la position du chien (fémurs parallèles, bassin symétrique).
  • Une identification précise sur le cliché (nom, LOF, date de naissance).
  • Des critères techniques irréprochables : contours nets, absence de flou, visibilité des grassets et rotules centrées.

Une fois validé, le cliché est transmis à l’expert, qui vérifie la conformité de l’articulation coxo-fémorale. Ce processus rigoureux permet d’éviter les erreurs liées à une mauvaise qualité du cliché.

La classification officielle de la dysplasie

Le lecteur évalue plusieurs paramètres : congruence articulaire, subluxation, signes d’arthrose. La Fédération Cynologique Internationale (FCI) utilise un système de notation de A à E, basé sur des critères objectifs comme l’angle de Norberg ou la forme de l’acétabulum.

Stade (lettre) Signification simplifiée
Stade A Aucune trace de dysplasie de la hanche.
Stade B Hanches presque normales, état limite.
Stade C  Dysplasie légère.
Stade D Dysplasie moyenne.
Stade E Dysplasie sévère.

Le résultat officiel est transmis au propriétaire et enregistré par le club de race. Ce classement influence les décisions d’élevage et permet de surveiller l’évolution de la maladie dans certaines races. Par exemple, un chien de stade A est considéré comme apte à la reproduction, tandis qu’un stade E est contre-indiqué.

Une lecture précise évite les erreurs de diagnostic et oriente les choix futurs pour la santé du chien.

CVA : Stades de la dysplasie de la hanche

En résumé, la dysplasie de la hanche, maladie génétique, se contrôle via la radiographie officielle.

Encadrée par les clubs de race et la SCC, cette démarche permet un élevage responsable et préserve la santé canine.

En détectant tôt les anomalies, elle réduit la transmission génétique et les complications articulaires pour un avenir plus sain.

Conseils pratiques pour le jour de l’examen

Pour que la radiographie officielle de dépistage de la dysplasie de la hanche se déroule sans encombre, une préparation minutieuse est essentielle.

Voici les étapes clés à respecter pour éviter les imprévus :

  • Prendre rendez-vous : Contactez un centre vétérinaire spécialisé en imagerie canine, équipé pour réaliser des clichés conformes aux normes officielles.
  • Respecter le jeûne : Aucune nourriture ni eau pendant les 12 heures précédant l’examen, afin de minimiser les risques liés à l’anesthésie.
  • Préparer les documents : Emportez le certificat d’identification (tatouage ou puce électronique), le pedigree (si applicable) et les papiers du chien.
  • Prévoir du temps : Le chien est généralement déposé le matin et récupéré en après-midi ou soirée, après un réveil en toute sécurité.
  • Après l’examen : Le vétérinaire remet une attestation et transmet les clichés numériques au lecteur officiel désigné par le club de race.

En suivant ces étapes, vous garantissez la validité des clichés et évitez les retards. Une bonne organisation permet d’optimiser la qualité des images, essentielles pour une évaluation précise de la conformation de l’articulation coxo-fémorale.

Tous nos Articles